MSKSONO.COM
Case study involving a 16yr old football player who injured his shoulder
reaching for a fumble 3 days prior to this study.  His arm was abducted above
his head, and then pulled behind him.
The father in this case refused an MRI as a prior shoulder injury had an MRI
and resulted in a negative study.  Thought his son was fine when the
Radiograph showed no fracture and the patient could still raise his arm above
his head.  
The Doctor then ordered the ultrasound appealing to the lower cost, readily
available due to the fact we are located next door to his office.  The father of
the football player agreed to this, and we were all glad he did.
Click on any image below for larger size
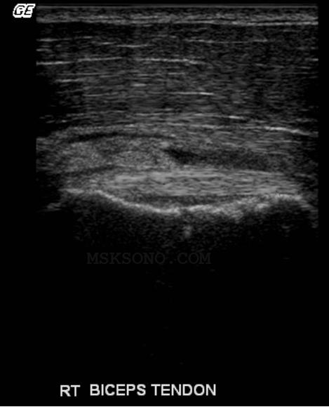
Bicep tendon
resting in the
footprint of the
Subscapularis
Tendon region
Scanning a little more
anterior shows a Bicep
Groove filled with
unorganized tissue.
Subscapularis image
shows retraction with
anechoic fluid in place of
the insertion to the
Lesser Tuberocity.
Further
evaluation of the
Lesser Tuberocity
reveals an
avulsion.
Power doppler
shows hyperemia
to the traumatic
site of the Bicep
Groove
Superior
Subscapularis
image shows
more anechoic
fluid filling the
tear site
Long axis of the Bicep
over the Anterior
Humeral Head, just
lateral to the Coracoid
Process.  Saggital
oblique Body plane as
the Biceps makes its
way to the superior
Labrum.
.
This image shows an
ill-defined Rotator Cuff
Interval as the
dislocated Bicep no
longer splits the
Supraspinatus and Torn
Subscapularis tendons.  
Some Subscapularis
tendon fibers are now
sliding superiorly.
Seemingly normal
Supraspinatus...when the
probe is moved slightly
distal.....
Slight movement of
the probe distal
reveals subtle tearing
anterior bursal surface
Posterior Glenoid
Labrum neutral
view, arm resting
over abdomen
with the elbow
bent at 90 deg.
Arm bent at 90, externally
rotated slowly shows
anechoic fluid benieth the
Infraspinatus tendon, with
echogenic material anterior
to the posterior glenoid
labrum capsule.  Could be
indicative of blood in joint
capsule.
   
CASE STUDY: SHOULDER INJURY
Counter
10-30-2009