MSKSONO.COM
Until the rest of MSKSONO.COM is up and running, I would
like to direct you to other sites on the net that I give my clients
when they want to further the self teaching process. Please
enjoy the slide show at the bottom of the page over general
MSK Ultrasound images.  This should drastically save the time
spent researching the Internet for learning material and give
you more time to learn.
Sample references page....MSKSONO.COM under construction
Counter
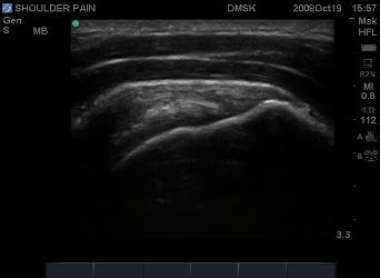
Longitudinal axis, Greater Tuberosity should always
be demonstrated in profile.  Note the layers of the
Supraspinatus Tendon as striated echos, and the
ABOVE: Image of the Supraspinatus tendon in its
Subacromial/Subdeltoid Bursa as a homogeneous
echogenic layer resting over the Supraspinatus
Tendon and courses laterally over the Greater
Tuberosity.
Select the tab marked: "Musculo
Skeletal Joints and Tendons"
Also at the top of the home page are
orange tabs, click "Scanning Protocols"
comprehensive site over all Ultrasound
Imaging, but MSK detail and layout is
user friendly and easy to navagate.  
Shows great protocols used anywhere I
have seen MSK Ultrasound instructed.  
Site has test your self sections as well.
Each extremity joint is outlined on these great save copy.  
This way you can have a copy to reference and even
print out.  These documents show probe placement and
what image to expect.  Easier said than done.  The
illustrations are great, and is well written.  These pages
are a sample to the book by
Carlo Martinoli and
Stephano Bianchi.
Site Rating: 90%
Site is well designed and has
great image descriptions
highlighting what is on the image
with correlating text.  Also the site
with correlating text.  Also the site
is a predecessor to the book by
Jon A. Jacobson.  This book is the
most recent also offers the most
for the lowest price.  Many of the
images are great pathological
depictions but lack updated
images with newer higher
resolution images.  Nevertheless
the site does have extensive
probe placement correlation with
each image under the example
tab on the right of the home page.
Site Rating: 80%
This site is great for image
comparison with any pathology
you may find in Rheumatology as
a primary suspect.  The images
are old and new, and have case
description for each image.  I like
this page because it is well
broken down to categories of
anatomy and pathologies.
Site Rating: N/A
This site is primarily to show
what "Guidelines" are out
there to follow.  These
guidelines are surely to be
constructed into the future
accreditation for MSK
Ultrasound. Just click on the
tab on the left of the home
page marked "Clinical
Guidelines" that takes you to
a page with a drop down
menu of all the different
ultrasound modalities. Find
the one marked
"Musculoskeletal Ultrasound"
and a PDF will load on the
page.
for membership information.
Cannot enter site unless you are a
member. Site constructed by training
Rheumatologist in MSK Ultrasound and
is highly active in the American College
of Rheumatology.   Other physicians I
have spoken with say this site has an
extensive image library, and offers
online dialog or blog discussions. If
you are a member of this site, please
let the webmaster know MSKSONO
would like to know more about
MSK-USS.org and its membership
program.
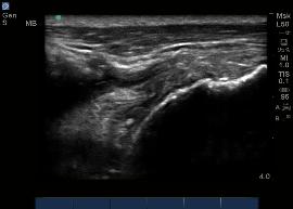
Above: Normal Supraspinatus Tendon insertion.
Image taken with out the Spatial Compounding
Option.  More emphasis is made on probe angle
and beam perpendicularity than if the unit had
the spatial compounding option as seen with the
image on the left.
Rating: 85%:
I really like what these guys are doing as far as making images and
techniques readily available to the public.  They have suggested
protocols posted and clinical exams and cover all other modalities
in ultrasound as well.  Not a dedicated MSK site, but right up there
with the best on informative content.
10-30-2009
POST-OPERATIVE ROTATOR CUFF: INTACT
The site is developed by Janak R Goyal MD with an idea to
simplify gross musculoskeletal anatomy and its correlation to
sonoanatomy which is easy to understand with minimal effort.
Absolutely essential complex key concepts of ultrasound physics
are presented in most easy to understand form for physicians and
sonographers. The information presented will help you acquire
the best sonographic images and interpret them accurately.

Ultrasound guided injections are presented with video clips taken
on actual patients in the office and supported with anatomical
drawings and animations.